今日は前に培養始めたタバコと、同じ様に培養していた形質転換タバコ(GFP入り)を観察しました。
そして一区切りついたといふ事は……レッポーゥトゥ~ですね。やれやれ。
ま、未来の苦難からはちと目をそらして、と☆
今日のこの日に目を向けまして…観察の話いってみよ~おー!
まず、先生は『立体顕微鏡持ってきて~』と言っていたのに『顕微鏡』しか聞いてなかったんで皆して違うのを持ってきたりしてグダグダと始まり、更に先生は『今日は早く終れるように頑張りましょう。長引くと精神的にね、良くないから…』なんて呟き、最後に『私の』と付け足して魅せてくれました。
ヤン無しですか先生(笑)
はい、んでとりあえずGFP(クラゲの紫外線で光る遺伝子)を導入してない二つを観察観察します。
NAA/BAっていう、葉や茎を出てきやすくする培地の方はもうプチジャングルでした。
葉は色薄く小さいのになんかやたら硬かったです。
何故かオレンジっぽい所がありましたが…なんすかねぇ変異した?
あ、毛なんかもちゃんと生えてました。
でも不思議な事に根は全然生えちゃいないんですよ~。白い粒みたいなんが根だとしてもかなり小さいです。
クェ&Gんちゃんのは緑緑していましたが、Sちー&S代ちゃんのは黴とは雰囲気が違うのに真っ黒…ミーステリィですね。
何か熟しすぎた柿みたいなにおいがしました。
んで2・4―D…こっちはカルスが一杯の方ですが…何か元気に見えない色形。
茶色や白で、大きさも小さいままです。
2・4―Dは高濃度だと除草剤になるらしいからベッタリ触れていた部分は死んだかな?
でも、この前授業で不定胚は色が白色っぽくて輝くようでやわらかいみたいな事をいっていたから不定胚が形成されてるんだったらなんか嬉しいですね。
…確かカルスは細胞塊だから…あいつはまだ胚じゃないですよね?
そしてこっちは凄く柔らかでした。ピンセットでつついたらグズグズ崩れるんですよ。後、凄く水っぽい。
NAA/BAはシュートができるって事は分化していて…2・4-Dはカルスだからまだ分化してなくて細胞壁が無いとかそんな事情なんでしょうかね。
で、肉眼以外に顕微鏡を使っての観察…スケッチとかマジめんどくさそうです。
故に!挑戦!顕微鏡で見える映像撮影!!
目でのぞいて拡大図が見えるって事はつまりなんか光が屈折してクェ達の目に届いてるわけですから…目のポジションにカメラをもってきたら撮れるにちがいない!
ってな訳でトライしたらいけました♪

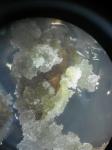
←これっす♪
なんかファンタジックじゃないですか?キレイです。NAA/BAの方も光を受けてキラキラしていて良い感じでしたがなんかこっちの方が『これ植物!?』って意外性があるかなぁと思いまして。
白いもこもこは多分カルスで、柔らかです。
茶色い部分は多分最初に植えつけた葉です。
さて、そんなこんなで遺伝子を発現するとその細胞で赤い色素を作り始める為、葉が赤くなるPAP-1の方も見せてもらったりしていたらクェ達がGFPの発現をチェックする順番が回ってきました。
機械が足りてないから順番待ちしなければならないのです(^^;)
まず、遺伝子が導入できていない部分が弱るようになってる選択培地から適当に一欠け葉を選びます。
そしてなんか、このGFPの発現は、トランスイルミネーターとやらじゃ見にくいって訳で(本当に微妙に白く光るだけ)、顕微鏡へ移動。
こっちは鮮やかに見えました。クェ、軽く感動☆
導入できていないところが赤、GFPのある部分が薄緑に光ります。
凄く凄く綺麗でした。けっこう優しい光なんですよ~。
クェのはしっかり発現していたとかでどこ覗いても一部がほんのり光ってました(^^)
で、ピント合わせてPCの画面に映ったのをカシャリと写メります。

なんだか銀河みたいです。
これでもうタバコ達とはお別れかと思うとちょっと寂しいですね。
でも、他のものから遺伝子をとりこんだ植物なので、許可のおりてる実験室の外で生やしたりしたらいけないからしかたないのです…。
…ばんばん遺伝子組み換え植物生やしていいぜっ☆って制度になったら記念に持って帰って今後も一緒に暮らせたりするんですけどね。
ってしまった。タバコって勝手に植えたら駄目なんだっけか。
[0回]